Skip to content Skip to sidebar Skip to footer

Interval Resolution Mri Meaning

What Does Interval Resolution Mean On Ct Scan Ct Scan Machine

What Does Interval Resolution Mean On Ct Scan Ct Scan Machine

Interval resolution mri meaning. What does interval resolution of metabolic activity of the left level of IB nodes mean. My MRI came back and it says Interval Resolution of Navicular Stress Fracture Bone marrow Edema in anteromedial calcaneus consistent with stress reaction Subcenter Ganglion cyst projecting into sinus tarsi from anterior aspect of Posterior subtalar joint. Difficult to understand than Dr.

But that doesnt mean that the changes havent been mild and slow as youd interpreted them to be. I had an MRI and it says C6-C7. Define interval resolution.

Moores Rowland International accounting. What does my MRI scan report indicate. Interval inter-val the space between two objects or parts.

The combination of advanced medical technology and the wonderful subtle intricacies of the human body often result in a final document that more closely resembles a William Faulkner novel translation. 1 A multiparametric MRI is a combination of two or more sequences andor including other. The simple truth is that radiology reports can be hard to read especially for those without a medical background.

However the results indicated that the thickness of capsulesynovium in the axillary recess was significantly higher p 0001 for patients than for control subjects standardized mean distance 154. This ubiquitous biological molecule has two protons which by virtue of their positive charge act as small magnets on a subatomic scale. The size of the voxel and therefore the resolution depends on.

Other MRI findings specific to the rotator interval such as thickening of the CHL and. What is the meaning of interval resolution - refers to MRIs of pontomedullary. The lapse of time between two events.

In dual chamber pacing the length of time between the sensed or paced atrial event and the next sensed or paced ventricular. Migrants Rights International Switzerland MRI.

What Does Interval Resolution Mean On Ct Scan Ct Scan Machine

What Does Interval Resolution Mean On Ct Scan Ct Scan Machine

An Mri Contrast Enhanced T1 Weighted Image Showing Interval Resolution Download Scientific Diagram

An Mri Contrast Enhanced T1 Weighted Image Showing Interval Resolution Download Scientific Diagram

What Does Interval Resolution Mean On Ct Scan Ct Scan Machine

What Does Interval Resolution Mean On Ct Scan Ct Scan Machine

Magnetism Questions And Answers In Mri

Magnetism Questions And Answers In Mri

Magnetism Questions And Answers In Mri

Magnetism Questions And Answers In Mri

Temporal Resolution An Overview Sciencedirect Topics

Temporal Resolution An Overview Sciencedirect Topics

What Is The Difference Between Slice Thickness And Slice Increment Materialise Innovators You Can Count On

What Is The Difference Between Slice Thickness And Slice Increment Materialise Innovators You Can Count On

What Does Interval Resolution Mean On Ct Scan Ct Scan Machine

What Does Interval Resolution Mean On Ct Scan Ct Scan Machine

K Space Fov Questions And Answers In Mri

K Space Fov Questions And Answers In Mri

An Mri Contrast Enhanced T1 Weighted Image Showing Interval Resolution Download Scientific Diagram

An Mri Contrast Enhanced T1 Weighted Image Showing Interval Resolution Download Scientific Diagram

Mri Super Resolution Reconstruction For Mri Guided Adaptive Radiotherapy Using Cascaded Deep Learning In The Presence Of Limited Training Data And Unknown Translation Model Chun 2019 Medical Physics Wiley Online Library

Mri Super Resolution Reconstruction For Mri Guided Adaptive Radiotherapy Using Cascaded Deep Learning In The Presence Of Limited Training Data And Unknown Translation Model Chun 2019 Medical Physics Wiley Online Library

Receiver Bandwidth Questions And Answers In Mri

Receiver Bandwidth Questions And Answers In Mri

What Does Interval Resolution Mean On Ct Scan Ct Scan Machine

What Does Interval Resolution Mean On Ct Scan Ct Scan Machine

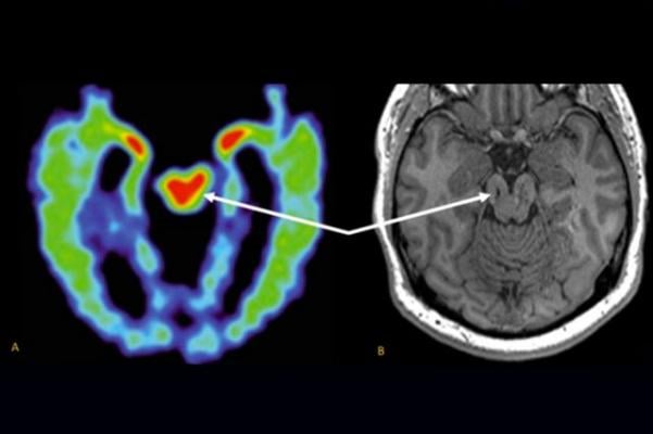
Pet Imaging In Hematology Ask Hematologist Understand Hematology

Pet Imaging In Hematology Ask Hematologist Understand Hematology

Breast Mri State Of The Art Radiology

Breast Mri State Of The Art Radiology

Preliminary Results Of A Simplified Breast Mri Protocol To Characterize Breast Lesions Academic Radiology

Preliminary Results Of A Simplified Breast Mri Protocol To Characterize Breast Lesions Academic Radiology

Spatial Resolution An Overview Sciencedirect Topics

Spatial Resolution An Overview Sciencedirect Topics

Mri Super Resolution Reconstruction For Mri Guided Adaptive Radiotherapy Using Cascaded Deep Learning In The Presence Of Limited Training Data And Unknown Translation Model Chun 2019 Medical Physics Wiley Online Library

Mri Super Resolution Reconstruction For Mri Guided Adaptive Radiotherapy Using Cascaded Deep Learning In The Presence Of Limited Training Data And Unknown Translation Model Chun 2019 Medical Physics Wiley Online Library

An Mri Contrast Enhanced T1 Weighted Image Showing Interval Resolution Download Scientific Diagram

An Mri Contrast Enhanced T1 Weighted Image Showing Interval Resolution Download Scientific Diagram

Prostate Magnetic Resonance Imaging With Or Without Magnetic Resonance Imaging Targeted Biopsy And Systematic Biopsy For Detecting Prostate Cancer A Cochrane Systematic Review And Meta Analysis European Urology

Prostate Magnetic Resonance Imaging With Or Without Magnetic Resonance Imaging Targeted Biopsy And Systematic Biopsy For Detecting Prostate Cancer A Cochrane Systematic Review And Meta Analysis European Urology

Tumor Segmentation Analysis At Different Post Contrast Time Points A Possible Source Of Variability Of Quantitative Dce Mri Parameters In Locally Advanced Breast Cancer European Journal Of Radiology

Tumor Segmentation Analysis At Different Post Contrast Time Points A Possible Source Of Variability Of Quantitative Dce Mri Parameters In Locally Advanced Breast Cancer European Journal Of Radiology

Mri Scan May Help Diagnose Chronic Traumatic Encephalopathy Imaging Technology News

Mri Scan May Help Diagnose Chronic Traumatic Encephalopathy Imaging Technology News

Mri Nex Averages And Image Quality Number Of Excitations Nex Or Number Of Signal Averages Nsa And Snr In Mri

Mri Nex Averages And Image Quality Number Of Excitations Nex Or Number Of Signal Averages Nsa And Snr In Mri

3

3

Hr Mri Of The Breast At Intervals Of Maximum 24 Months Influence On Tumor Stage At The Time Of Diagnosis

Hr Mri Of The Breast At Intervals Of Maximum 24 Months Influence On Tumor Stage At The Time Of Diagnosis

Mri Sequence Wikipedia

Mri Sequence Wikipedia

The Postoperative Meniscus Radsource

The Postoperative Meniscus Radsource

Receiver Bandwidth Questions And Answers In Mri

Receiver Bandwidth Questions And Answers In Mri

Fse Parameters Questions And Answers In Mri

Fse Parameters Questions And Answers In Mri

Dynamic Contrast Enhanced Mr Imaging Of Nonenhancing T2 High Signal Intensity Lesions In Baseline And Posttreatment Glioblastoma Temporal Change And Prognostic Value American Journal Of Neuroradiology

Dynamic Contrast Enhanced Mr Imaging Of Nonenhancing T2 High Signal Intensity Lesions In Baseline And Posttreatment Glioblastoma Temporal Change And Prognostic Value American Journal Of Neuroradiology

The Adnexa Radiology Key

The Adnexa Radiology Key

7 T Clinical Mri Of The Shoulder In Patients With Suspected Lesions Of The Rotator Cuff European Radiology Experimental Full Text

7 T Clinical Mri Of The Shoulder In Patients With Suspected Lesions Of The Rotator Cuff European Radiology Experimental Full Text

Prostate Indeterminate Lesions On Magnetic Resonance Imaging Biopsy Versus Surveillance A Literature Review European Urology Focus

Prostate Indeterminate Lesions On Magnetic Resonance Imaging Biopsy Versus Surveillance A Literature Review European Urology Focus

Chapter 1 Introduction To Magnetic Resonance Imaging Rsc Publishing Doi 10 1039 9781788013062 00001

Chapter 1 Introduction To Magnetic Resonance Imaging Rsc Publishing Doi 10 1039 9781788013062 00001

What Does Interval Resolution Mean On Ct Scan Ct Scan Machine

What Does Interval Resolution Mean On Ct Scan Ct Scan Machine

Twmhrxewohk 7m

Twmhrxewohk 7m

Mri Resolution And Image Quality How To Manipulate Mri Scan Parameters

Mri Resolution And Image Quality How To Manipulate Mri Scan Parameters

Hr Mri Of The Breast At Intervals Of Maximum 24 Months Influence On Tumor Stage At The Time Of Diagnosis

Hr Mri Of The Breast At Intervals Of Maximum 24 Months Influence On Tumor Stage At The Time Of Diagnosis

Stroke Like Migraine Attacks After Radiation Therapy Smart Syndrome A Comprehensive Review Springerlink

Stroke Like Migraine Attacks After Radiation Therapy Smart Syndrome A Comprehensive Review Springerlink

Gadolinium Based Contrast In Breast Mri What Ob Gyns Need To Know

Gadolinium Based Contrast In Breast Mri What Ob Gyns Need To Know

2

2

Mri Physics Interactive Mri Noise And Artifact Simulation Xrayphysics

Mri Physics Interactive Mri Noise And Artifact Simulation Xrayphysics

Spatial Resolution An Overview Sciencedirect Topics

Spatial Resolution An Overview Sciencedirect Topics

An Mri Contrast Enhanced T1 Weighted Image Showing Interval Resolution Download Scientific Diagram

An Mri Contrast Enhanced T1 Weighted Image Showing Interval Resolution Download Scientific Diagram

Mri Super Resolution Reconstruction For Mri Guided Adaptive Radiotherapy Using Cascaded Deep Learning In The Presence Of Limited Training Data And Unknown Translation Model Chun 2019 Medical Physics Wiley Online Library

Mri Super Resolution Reconstruction For Mri Guided Adaptive Radiotherapy Using Cascaded Deep Learning In The Presence Of Limited Training Data And Unknown Translation Model Chun 2019 Medical Physics Wiley Online Library

Advanced Brain Tumour Segmentation From Mri Images Intechopen

Advanced Brain Tumour Segmentation From Mri Images Intechopen

Diffusion Weighted Mr Imaging Of The Brain Radiology

Diffusion Weighted Mr Imaging Of The Brain Radiology

Resisting The Need To Quantify Putting Qualitative Fdg Pet Ct Tumor Response Assessment Criteria Into Daily Practice American Journal Of Neuroradiology

Resisting The Need To Quantify Putting Qualitative Fdg Pet Ct Tumor Response Assessment Criteria Into Daily Practice American Journal Of Neuroradiology

Https Encrypted Tbn0 Gstatic Com Images Q Tbn And9gcqq86bt9hpike5g9 Lnfbigqgui5doygbxpo0hye2 Sfm9 Bnrk Usqp Cau

Https Encrypted Tbn0 Gstatic Com Images Q Tbn And9gcqq86bt9hpike5g9 Lnfbigqgui5doygbxpo0hye2 Sfm9 Bnrk Usqp Cau

Fisher exact test was used to compare interval change of imaging biomarkers.

What does my MRI scan report indicate. Other MRI findings specific to the rotator interval such as thickening of the CHL and. Component of the MR signal that yields a symmetric positive-valued line shape. In MRI spatial resolution is defined by the size of the imaging voxels. An MRI sequence in magnetic resonance imaging MRI is a particular setting of pulse sequences and pulsed field gradients resulting in a particular image appearance. Define interval resolution. Magnetorotational Instability physics MRI. But that doesnt mean that the changes havent been mild and slow as youd interpreted them to be. 95 CI for standardized mean distance 093215.


This ubiquitous biological molecule has two protons which by virtue of their positive charge act as small magnets on a subatomic scale. Acceleration factorThe multiplicative term by which faster imaging pulse sequences such as multiple echo imaging reduce total imaging time compared to conventional imaging sequences such as spin echo imaging. Mean values of apparent diffusion coefficient ADC DCE-MRIderived volume transfer constant K trans and DSC-MRIderived relative cerebral blood volume CBV from pre- and post-SRS MRI scans were compared between groups using univariate and regression analysis. Magnetorotational Instability physics MRI. An MRI sequence in magnetic resonance imaging MRI is a particular setting of pulse sequences and pulsed field gradients resulting in a particular image appearance. The combination of advanced medical technology and the wonderful subtle intricacies of the human body often result in a final document that more closely resembles a William Faulkner novel translation. Glossary of MRI Terms A Absorption mode.

Post a Comment for "Interval Resolution Mri Meaning"